Head treatment tool – gamma knife
·

Since the world’s first gamma knife was put into operation in Sweden in 1968, after more than 50 years of development, gamma knife has become a very mature, safe and effective technology in neurosurgery. More than 2 million patients worldwide have benefited from gamma knife treatment.
In the early 1990s, with the promotion of Academician Wang Zhongzhong, a leading figure in the field of neurosurgery in China, gamma knife technology was introduced into China. Thanks to the support of domestic equipment, gamma knife has achieved rapid development in China. Without surgery, treating brain tumors is deeply ingrained in people’s hearts. The emergence of gamma knife not only relieved the pain of many patients, but also changed the treatment mode of many brain diseases.
The gamma knife treatment room is one of the key characteristic departments of our hospital. Since its operation in April 2020, it has been safe and efficient, with a cumulative treatment volume of over 2500 cases completed, ranking among the top gamma knife treatment centers in Guangdong Province during the same period, saving many brain tumor patients from the trauma and pain of surgery.
Case sharing
Case 1, a 26 year old male patient, was diagnosed with cerebral arteriovenous malformation due to epilepsy in 2018 and underwent interventional embolization treatment. Due to ongoing seizures, I came to our hospital from April 2021 to request gamma knife treatment. Figure A-C

Figure A: 2021-04-26 First gamma knife treatment

Figure B: 2021-11-03 Second Gamma Knife Treatment

Figure C: On February 22, 2023, magnetic resonance imaging showed a significant reduction in abnormal vascular clusters and no seizures.
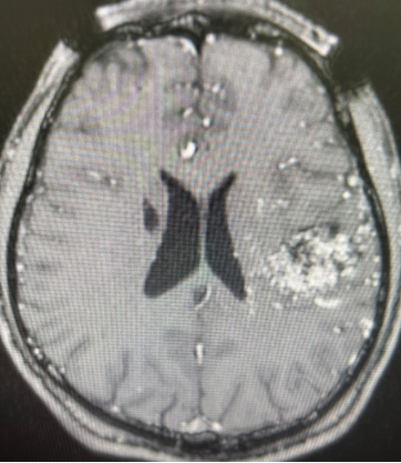
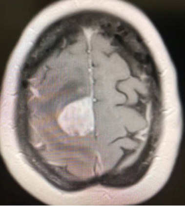
Case 2, female patient, 56 years old, complained of left limb weakness and difficulty walking for 2 weeks. Diagnosis: Multiple brain metastases from lung cancer. Figure A-D

Figure A: 2022-25 Gamma knife treatment localization, right frontal tumor with severe edema around the lesion.

Figure B: Simultaneous gamma knife treatment of left temporal tumor from 2022 to 02-25

Figure C: July 25th, 2022. After 5 months of surgery, magnetic resonance imaging showed that the right frontal tumor disappeared and the patient walked freely.

Figure D: 2022-07-25, magnetic resonance imaging reexamination, left temporal tumor also disappeared.
Case 3: A 65 year old male patient with cavernous hemangioma of the cavernous sinus, Figure A-B

Figure A: Localization of Gamma Knife Therapy from 2020 to 06 to 10

Figure B: 2021-06: After six months of gamma knife treatment, the lesion showed significant reduction
Gamma knife is a cross-border discipline and a high-tech product. It requires the collaborative efforts of neurosurgery experts, tumor radiation therapy experts, medical imaging experts, and medical physics experts to provide professional services to patients; It is even more necessary to have supporting and advanced medical equipment to protect patients.
Our gamma knife treatment room has an experienced and dedicated elite team serving patients, consisting of both experienced senior experts and young and middle-aged backbone. We strictly abide by the Hippocratic oath, treat every patient seeking medical treatment with a compassionate heart that saves all beings, strictly grasp the indications and contraindications of the gamma knife, always prioritize the interests of patients, and do not exaggerate the efficacy. The department has established strict procedures and regulations for radiation surgery treatment, treating every patient with a rigorous and responsible attitude. By providing a detailed understanding of the medical history and discussing multidisciplinary medical records, we aim to provide the best personalized treatment plan for each patient. We strictly control every step of the treatment process, pay attention to every detail, and provide patients with the most standardized gamma knife treatment.
Our hospital has a state-of-the-art stereotactic radiotherapy system (gamma knife) with a precision of up to submillimeter level, which can provide patients with precise gamma knife treatment; Equipped with the most advanced PET-CT, it can perform detailed preoperative examinations; Equipped with 1.5T, 3.0T magnetic resonance imaging, large-aperture CT, and DSA, it can perform combined and accurate three-dimensional localization of intracranial lesions. If you want to do good work, you must first sharpen your tools. It is with these sharp tools that we can confidently provide high-quality services to patients and achieve good treatment outcomes.
Here, patients can not only have one-on-one detailed consultations with experts, but also enjoy the multidisciplinary team consultation of the “All Star” expert lineup to obtain the best personalized treatment plan, and also enjoy the one-stop and comprehensive customized services we provide. Putting patients at the center is the purpose of all our work.
Past experiences make us feel proud of success, and future progress is our unremitting pursuit.
Concentrate and strive for excellence!

+86 18928918121
发表回复